在生活的赛道上,47岁的李先生是家庭的顶梁柱,每日下井从事重体力工作,用坚实的脊梁扛起家庭的重担。然而,最近的一次体检,如同一颗巨石投入平静湖面,“右肾占位”的消息打破了生活的宁静。

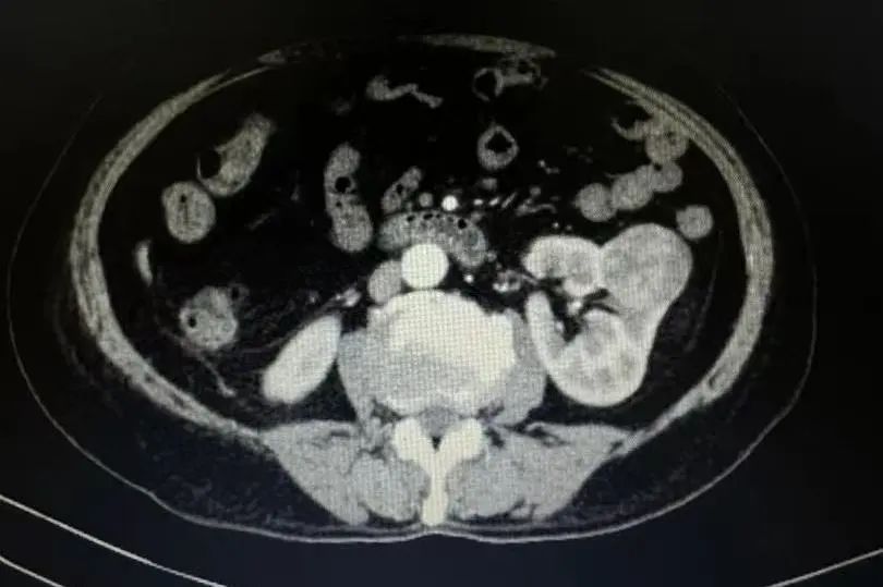
在凤凰医院住院后,详细检查显示右肾有直径约4厘米的肿物,考虑为肾脏肿瘤。面对这一情况,泌尿外科张锐主任深知李先生的家庭责任与生活压力。他和团队反复研讨,最终决定为患者实施“后腹腔镜下右肾部分切除术”,在切除肿瘤的同时保留肾脏,最大程度降低对患者生活的影响。

肾脏肿瘤保留肾脏手术有着严格的适应症,像TIa期肿瘤(肿瘤直径小于4厘米)、位于肾脏表面、孤立肾的肾癌、对侧肾功能不全或无功能肾者、双肾同时性肾癌等情况才适用。李先生的病情虽不完全符合典型指征,但凭借丰富的临床经验与精湛医术,张主任认为手术有成功的可能。


手术室内,无影灯亮起,张主任和团队全神贯注,每一个操作都精准无误。经过1小时50分钟的紧张奋战,成功完整切除肿瘤,李先生的肾脏得以保留。术后,医护团队精心照料,密切关注恢复情况。7天后,李先生顺利出院,又能重新回到工作岗位,继续为家庭拼搏。

这一成功案例,是凤凰医院泌尿外科医疗技术的有力见证。在面对肾脏肿瘤难题时,他们凭借专业判断、精湛医术与人文关怀,为患者量身定制最佳治疗方案。凭借先进的腹腔镜微创技术,在切除肿瘤的同时,守护住肾脏这一生命“双引擎”,让患者的生活重回正轨,拥抱健康与希望。
医院总值班:0554-8880810医院医政部:0554-8880516120急救:0554-8886120
医院地址:淮南市凤台县凤凰湖新区S308
交通指引:市内乘101、 k20路定制班线;凤台2 、3 、5、102、108路到凤凰医院站下
Copyright © 2026淮南东方医院集团凤凰医院